Ischemic stroke treatment

Be ready to take on new challenges in ischemic stroke treatment with these innovative approaches

We see a strong increase in thrombectomy interventions as a first-line treatment for patients with ischemic stroke. [1] There is also a shift from time-based to image-based selection in this area. Our neurovascular suite has been developed to help to address these trends. It can support high levels of procedural efficiency and redefine outcomes for your stroke patients as you decide, guide, treat and confirm.

Demonstrated results in ischemic stroke treatment

39 cm

(15 in) lateral detector

of Azurion can be positioned close to the patient’s head while providing full brain coverage

88% 

of users

believe they can have more focus on their patient - thanks to full tableside control with the touchscreen module [3]

75%

dose reduction in neuro DSA [2]

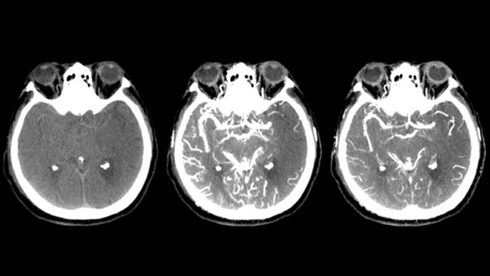
with ClarityIQ compared to a system without ClarityIQ. Its automatic motion compensation removes skull and motion artifacts, which is key when placing small devices at the base of the skull.

Image gallery

Innovatively designed to support even the most challenging procedures

Azurion 7 B20/15 Image Guided Therapy System Biplane

High-quality neuro-specific lateral detector can be positioned close to the patient’s head while providing full brain coverage. Secure, fast lateral gantry parking allows seamless switch between 2D and 3D image acquisition. Frontal arc 135° position enables optimal head-end access to the patient.

3D visualization and measurement solution

SmartCT Soft Tissue Helical*

Improved neuro CT-like cone beam CT images (CBCT) to identify soft tissue changes in the angio suite. An advanced protocol with dual-axis acquisition trajectory and improved reconstruction software results in improved image appearance, compared to conventional CBCT acquisition techniques.

3D visualization beyond the clot

SmartCT Dual Phase Cerebral*

Offers acquisition of two consecutive contrast-enhanced CBCT scans of the brain, allowing identification of the vessel occlusion in the first phase and the presence of collateral vessels in the second phase.

3D visualization and measurement solution

SmartCT Dual Viewer*

Simultaneously visualize two 3D datasets of different sizes--acquired at different times during the procedure--and overlay them to create fusion images to support assessment and diagnosis without breaking sterility by using the touchscreen module or mouse and keyboard.

SmartCT 3D visualization and measurement solution 

Simplifies 3D acquisition so any clinical user [4] can easily perform 3D imaging. 3D images are automatically displayed within seconds on the touchscreen module [5]. Visualize the full intricacies of complex malformations and also less radio-opaque flow diverters.

3D visualization and measurement solution
3D visualization beyond the clot

SmartCT Vaso

Allows visualization beyond the clot with peri-procedural imaging of the distal vessel aspects in ischemic stroke. By retrograde filling, vessel structures before and after the clot become visible. The SmartCT Vaso 3D Roadmap can be used to visualize clot retrieval devices.

Technologies and innovations

We are always interested in engaging with you.

Let us know how we can help.

1
Select your area of interest
2
Contact details

*SmartCT R3.0 is subject to regulatory clearance and may not be available in all markets. Contact your sales representative for more details.
[1] www.mdedge.com/neurology/article/107506/stroke/stroke-centers-increase-and-refine-use-thrombectomy
[2] Söderman M, Holmin S, Andersson T, Palmgren C, Babic D, Hoornaert B. Image noise reduction algorithm for digital subtraction angiography: clinical results. Radiology. 2013 Nov;269(2):553-60. The results of the application of dose reduction techniques will vary depending on the clinical task, patient size, anatomical location and clinical practice. The interventional radiologist assisted by a physicist as necessary has to determine the appropriate settings for each specific clinical task.
[3] Market Research Group reports ‘16-’17.
[4] The user level of expertise required is described in the Instructions for Use as the Intended Operator Profile.
[5] 3D reconstructions at higher resolution settings may take longer times.

You are about to visit a Philips global content page

Continue

You are about to visit a Philips global content page

Continue

Our site can best be viewed with the latest version of Microsoft Edge, Google Chrome or Firefox.

Jūs pateksite į Lietuvos „Philips Healthcare“ svetainę.
Please select the checkbox

Svetainė skirta tik asmenims, naudojantiems medicinos priemones profesinėje veikloje, įskaitant sveikatos priežiūros specialistams, profesinę veiklą vykdantiems asmenims, atstovaujantiems sveikatos priežiūros įstaigą ar medicinos priemonėmis prekiaujančią organizaciją.

Ar esate asmuo, atitinkantis aukščiau nurodytus kriterijus?