
Quality cardiac care depends on efficient and accurate diagnosis and assessments, where the accuracy of superior imaging and the informed guidance of AI in a streamlined, patient-centric workflow can provide a clear picture of a patient’s condition, enabling precise, personalized care decisions.
We'll explore how imaging technology can help deliver life-changing clinical insights to patients and cardiology care teams by providing exceptional quality in diagnostic imaging, analysis, reporting and insights across imaging modalities while also supporting staff workflow, efficiency and satisfaction.


See beyond routine cardiac imaging with the additional clinical information of Spectral CT for advanced cardiac applications. Learn how the Spectral CT 7500's "Always On" Spectral CT workflow helps you meet the needs of all your patients with zero compromises.
Cardiac imaging modalities support a more confident stratification of cardiovascular toxicity while serving as a powerful baseline reference for treatment and long-term follow-up.
To read the complete ESC guidelines for cardio-oncology visit our cardiotoxicity page.
Learn more about how our advanced cardiac imaging solutions can enable a personalized, efficient and clinically smart cardiac care that helps drive optimal outcomes throughout the patient journey.

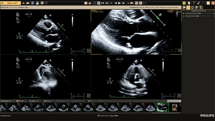
Review, analyze and quantify clinical information from different modalities and for various clinical indications with AI-enabled 3D models, maps and other quantitative tools.

Provide a single point of access to patient’s cardiovascular diagnostic information and multi-modality images at full diagnostic quality, including prior exams, as well as findings, measurements, and reports.

Allow for greater efficiency in viewing, analysis and reporting by giving care teams the flexibility to adopt different workflows based on their current and future needs.

Unlock the full potential of CT as a non-invasive cardiac diagnostic tool.

Realize the potential of MR throughout the pathway with ultrafast exams, optimized workflow, high-quality diagnostic imaging and enhanced patient comfort.

Enhance diagnosis confidence and clinical efficiency through superior image quality, advanced quantification tool and automation technology.
Get to confident diagnoses more efficiently with integrated cardiac imaging products and services that are designed to help care teams work more effectively throughout the patient care path.
Explore Philips cardiology solutions designed to strengthen clinical confidence, build efficiency throughout the care pathway, and improve cardiac care experiences.
* Philips Cardiovascular Workspace is the commercial name of the medical device Philips IntelliSpace Cardiovascular
You are about to visit a Philips global content page
ContinueSvetainė skirta tik asmenims, naudojantiems medicinos priemones profesinėje veikloje, įskaitant sveikatos priežiūros specialistams, profesinę veiklą vykdantiems asmenims, atstovaujantiems sveikatos priežiūros įstaigą ar medicinos priemonėmis prekiaujančią organizaciją.
Ar esate asmuo, atitinkantis aukščiau nurodytus kriterijus?